위시 케어

연세위시치과는
치료 결과와 타협하지 않겠습니다.

weshe Care

배경

예방치료도, 치과치료도
이제 한 곳에서 받으세요.

턱관절 치료 잘하는 치과, 사랑니 발치 잘하는 치과 따로따로 찾느라 힘드셨나요?
연세위시치과는 예방관리센터에서 위시 케어 서비스를 통해 전반적인 예방관리와 치과치료를 함께 병행하고 있습니다.

아이콘

철저한 멸균, 소독 시스템

위생, 감염으로부터 안전한
진료공간을 만듭니다.

아이콘

과잉진료 없는 치과

구강 내 촬영과 정확한 분석으로
필요한 진료만 시행합니다.

아이콘

자연치아 보존

소량삭제로 소중한
자연치아를 살립니다.

Preventive Treatment

예방치료

치아는 큰 치료가 되기 전, 예방이 가장 중요합니다. 올바른 칫솔질과 스케일링, 예방치료를 통하여 건강한 치아 유지가 가능합니다.
연세위시치과는 정기적인 예방 관리를 통해 맞춤형 치아 케어에 도움을 드리고 있습니다.

  • 01

    에어플로우 무자극 스케일러

    시리고 아픈 스케일링으로 고민되셨다면, EMS
    에어플로우 스케일러로 자극과 통증 없이 세균막을
    깨끗이 씻어내고 치주 질환을 예방할 수 있습니다.

  • 02

    정기적인 구강검진

    정기적인 구강검진을 통해 충치를 미리 발견하고
    예방할 수 있습니다. 추가로 검진을 통해 필요한
    부분이 있다면 예방치료를 실시합니다.

  • 03

    위시 케어 프로그램

    구강검사, 스케일링, 불소도포, 치실 사용 등
    연세위시치과에서 예방치료를 받고, 정기적인
    관리를 통해 치아우식과 치주질환을 예방합니다.

에어플로우
Airflow Scaling

에어플로우 스케일러로
이시림 걱정 없는 무통 스케일링

시리고, 아픈 스케일링으로 고민되셨나요?
치주 질환 예방을 위하여 두려움 없이 스케일링이 가능한
저자극 저통증 스케일링 에어플로우로 세균막을 깨끗이 씻어낼 수 있습니다.

  • 치석 제거
  • 잇몸질환 예방
  • 구취 예방
  • 치아 표면 착색 완화
  • 임플란트 주위 염증 제거
Airflow Scaling

자극은 줄이고, 효과는 더 확실하게
치아 틈새까지 깨끗한 세정

일반 스케일링

일반 스케일링

금속 기구를 사용해 치석과 착색을 긁어내는 방식으로,
잇몸에 자극이 가해져 통증이나 출혈이 발생할 수 있으며,
시술 후 시림이나 이물감이 남는 경우가 많습니다.
또한 미세한 착색이나 세균막은 완전히 제거되지 않을 수 있습니다.
VS
영상보기 에어플로우 스케일링

에어플로우 스케일링

미세한 파우더와 공기, 물을 분사해 세정하는 방식으로,
물리적 자극 없이 부드럽게 세정이 가능하며 통증이 거의 없어
민감한 분들도 편안하게 받을 수 있습니다. 치아 표면뿐 아니라
잇몸 라인과 치아 틈새까지 세균막을 제거하여 보다 위생적입니다.
Airflow Scaling

에어플로우 스케일러의 특별함을
영상으로 확인해 보세요.

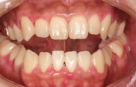
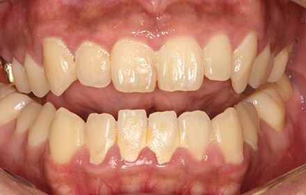
Before & After

에어플로우 스케일링 치료 전후

치료전후

Before

치료전후

In Progress

치료전후

After

  • * 위 임상 사진은 연세위시치과 진료를 시작하고 마친 동일한 환자의 사진입니다.
  • * 위 임상 사진은 동일한 조건으로 촬영되었으며, 사진에 대한 별도의 조작이 처리되지 않았습니다.
  • * 수술 및 치료 과정에서 부작용이 발생할 수 있으므로 의료진과의 충분한 상담과 신중한 판단이 요구됩니다.
  • * 치료기간 : 2025.05.12
Cavity Treatment

충치, 신경치료

충치는 초기 통증이 없어 발견이 어렵습니다. 정기적인 예방이 가장 중요하지만,
예방이 어려워 충치가 발생한 경우 빠른 치료가 필요합니다. 치아 표면에 까맣게 비치거나, 치아가 맞닿는 부분에서도
나타날 수 있어 검진까지 세밀하게 진행해야 합니다. 연세위시치과는 충치부터 자연치아를 마지막까지 살리는
최후 치료인 신경치료까지 자연치아를 소중하게 살리는 치료를 진행합니다.

1단계 법랑질 충치 충치,신경치료

법랑질 표면에 생기고 자각증상이 없어
주로 정기검진 시 발견

레진 치료 충치,신경치료
2단계 상아질 충치 충치,신경치료

치아의 상아질까지 썩어 치아가
시리거나 약한 통증

인레이 치료 충치,신경치료
3단계 치수염 충치,신경치료

치아 내 치수(신경)까지 썩어
온도에 민감해지고 심한 통증

크라운 치료 충치,신경치료
4단계 치수 괴사 충치,신경치료

충치 염증이 치조골과 잇몸까지 퍼져
크라운 치료를 시행하며 발치 위험

임플란트 치료 충치,신경치료
  • 보존치료 (충치치료)
  • 신경치료
  • 발치 및 임플란트
Gum Treatment

잇몸치료

치아의 땅이 되는 잇몸의 치료는 구강 내 치료의 핵심입니다. 초기 치주염의 경우 스케일링과 항생제, 잇몸 연고를 통해 완화가 가능하지만
외과적 치료가 필요한 치주낭이 심한 경우에는 깊이를 줄이기 위한 외과적 제거 시술을 진행해야 합니다.

비외과적 치료

치석제거술, 치근활택술,
에어플로우 스케일링
  • 잇몸치료
  • 잇몸치료

외과적 치료

치은연하소파술, 치은박리소파술,
골 이식술
  • 잇몸치료
  • 잇몸치료
Prosthetic Treatment

보철치료

우리의 몸에서 가장 좋은 재료는 자연치아입니다. 치아의 상실과 손상 시 치아의 역할을 대신할 수 있도록
남아있는 자연치아를 보호하는 인공 보철물을 씌워 보호해 주는 보철치료를 진행합니다.

weshe LAB

치료부터 보철 제작까지, 위시 랩

연세위시치과는 원내 자체 기공실을 통해 치료 계획부터 보철 제작까지
의료진과 기공사의 세심한 협진으로 보철의 기능과 심미까지 고려한 치료를 시행합니다.

weshe LAB
자세히 보기 →
Wisdom Teeth Extraction

사랑니 발치

치아 가장 안쪽에 위치한 사랑니는 칫솔이 잘 닿지 않아 관리가 어려워, 충치나 잇몸 질환이 생기기 쉽습니다.
특히 난이도가 높은 사랑니의 경우 신경관까지 고려해 발치를 진행해야 하므로, 대학병원에 예약하고 오랜 시간 기다려야 하는
경우가 많습니다. 연세위시치과에서는 한 곳에서 전문적인 사랑니 발치를 포함한 전반적인 치과 치료가 가능합니다.

사랑니발치 사랑니발치
  • 3D CT를 이용한 정확한 발치 계획
  • 신경관을 고려한 전문의 진료
  • 안전하고 신속한 발치
  • 발치 후 위시 케어
  • 01

    매복되어 있는 형태

  • 02

    옆으로 누워있는 형태

  • 03

    뿌리가 휘어 있는 경우

  • 04

    신경관, 상악동과 가까운 경우

TMD Treatment

턱관절 치료

턱에서 딱딱 소리가 나거나 통증이 느껴지시나요? 턱관절 질환은 단순히 방치해서는 안 되며,
전문적인 치과 치료가 필요한 영역입니다. 연세위시치과는 턱관절과 악안면 구조를 잘 아는 전문의가
정밀한 진단부터 치료까지 직접 진행하여, 근본적인 원인을 찾아 편안한 일상으로 회복하실 수 있도록 도와드립니다.

턱관절 질환, 원인은 무엇일까요 아이콘

  • 스트레스
  • 부정교합
  • 치아결손
  • 구강악습관
퀵메뉴